Dental Implant Patient Photo Gallery
in NYC

Photo
Gallery
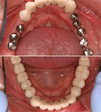
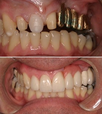
The Aesthetic and Reconstructive Team at New York Smile Institute is here to help. Check out some of our work by visiting our Smile Gallery below.


In the Media
@NEWYORKSMILEINSTITUTE


The Dr. Dean Experience
Dentist of the Dentists
Dr. Dean Vafiadis is the Founder of New York Smile Institute and a respected Prosthodontic specialist in New York and around the world. He also serves as an Associate Professor of Prosthodontics at NYU College of Dentistry and routinely lectures around the world on dentistry. His mission is to serve his patients’ dental needs while also helping to advance dental care treatments and therapeutics on an industry level.





Contact Us

693 Fifth Avenue
@54th Street – 14 Floor
New York, NY 10022